La Inteligencia Artificial (IA) está presente en cada vez más sectores ayudando a facilitar y simplificar procesos. Este es el caso de la medicina, en el que la sistematización llegó a crear un medicamento para el tratamiento de la fibrosis pulmonar idiopática.
La Inteligencia Artificial lo hizo de nuevo: cómo funciona el medicamento hecho 100% con esta tecnología
Una startup de biotecnología en Hong Kong generó un fármaco con la ayuda de la IA y ya iniciaron los ensayos clínicos en personas.
-
¿Se pinchó el boom de la Inteligencia Artificial? Una empresa del sector se hundió 34% en Wall Street
-
La inteligencia artificial captó un asteroide enorme cerca de la tierra
Ya se crean medicamentos con 100% de producción a manos de la Inteligencia Artificial.
La empresa biotecnológica, Insilico Medicine de Hong Kong, ideó el fármaco INS018_055, el primero diseñado con IA.
La Inteligencia Artificial ayudó a crear medicamentos contra el coronavirus
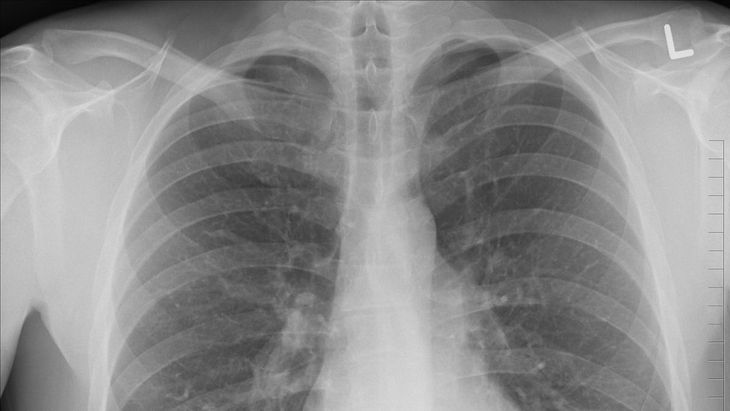
El medicamento comenzó su desarrollo en 2020 y ya está en etapa de ensayos clínicos de fase II, con pacientes humanos. INS018_055 se creó como tratamiento para la fibrosis pulmonar idiopática, una enfermedad crónica que afecta los pulmones. La enfermedad actualmente afecta a millones de personas en el mundo y, de no tratarse correctamente, puede provocar la muerte en un plazo de dos a cinco años.
La compañía tiene además otros dos medicamentos desarrollados parcialmente con Inteligencia Artificial, el primero es un medicamento contra el COVID-19 que se encuentra en ensayos clínicos de fase I y el otro es un medicamento contra el cáncer que recientemente recibió la aprobación de la FDA en Estados Unidos para iniciar con los ensayos clínicos.
Cómo son las pruebas del medicamento que creó la IA en humanos
El estudio actual del fármaco para la fibrosis pulmonar idiopática es un ensayo aleatorizado, doble ciego, controlado con placebo que se lleva a cabo durante 12 semanas en China, pero la startup tiene planes de expandir la población de prueba a Estados Unidos.
Durante el desarrollo de la fase II del ensayo clínico, los especialistas evaluarán la seguridad, tolerabilidad, farmacocinética y eficacia preliminar del fármaco INS018_055 en pacientes con FPI (Fibrosis Pulmonar Idiopática), a quienes se espera pueda ayudar en el tratamiento de esta enfermedad.
Si el actual ensayo clínico de fase II tiene éxito, se pasará a la fase III en la cual la población a probar será de cientos de participantes.







Dejá tu comentario